La chirurgia parodontale
Quando la salute dei tessuti è compromessa, si attuano terapie di tipo maggiormente invasivo: si tratta della terapia chirurgica parodontale, riservata a quei pazienti in cui la terapia non chirurgica non è stata in grado di eliminare completamente le cause dell’infiammazione dei tessuti attorno ai denti, con l'obiettivo di cercare di ridurre i danni prodotti dalla malattia parodontale.
La terapia chirurgica parodontale permette una più accurata pulizia delle radici: incidendo e scollando i tessuti gengivali, l’accesso ai denti e all’osso è infatti molto più agevole. Essa permette anche di ostacolare la crescita dei batteri che vivono in assenza di ossigeno e ha il vantaggio di facilitare il controllo della placca.
Chirurgia parodontale rigenerativa
La chirurgia rigenerativa consiste nel ricostruire il tessuto osseo e gengivale che è andato perso a seguito della malattia parodontale o di altri processi patologici.
L’indicazione primaria alla chirurgia rigenerativa sono i difetti ossei molto profondi. La tecnica consiste nell’utilizzare un innesto di tessuto che viene poi ricoperto dalle strutture gengivali o da membrane protettive biocompatibili.
Il principale vantaggio è la ricostruzione del tessuto che è andato perso a causa della parodontite o di altri processi patologici. L’applicazione di membrane e biomateriali sostitutivi consente la neoformazione e la rigenerazione del tessuto osseo andato perso, la riduzione della profondità della tasca e una diminuzione o risoluzione completa delle retrazioni gengivali, garantendo così stabilità agli elementi dentari.
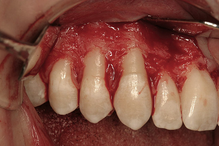
Chirurgia parodontale osteo-resettiva
Nei casi di parodontite avanzata, il tessuto osseo e gengivale che sostiene gli elementi dentari è danneggiato e le tasche parodontali (gli spazi tra dente e gengiva) si approfondano creando uno spazio più ampio dove i batteri possono proliferare. In questi casi i trattamenti di levigatura radicolare o di igiene orale professionale non sono più sufficienti.
Qualora non si intervenisse chirurgicamente, l’osso alveolare tenderebbe a riassorbirsi a causa del continuo insulto batterico e, qualora questa perdita fosse notevole, l’estrazione potrebbe essere l’unica terapia possibile. Anche se il paziente ha un’ottima igiene orale, la terapia chirurgica è indicata poiché le manovre di igiene domiciliare non permettono di posizionare le setole dello spazzolino al di sotto della gengiva per più di 0.8 mm.
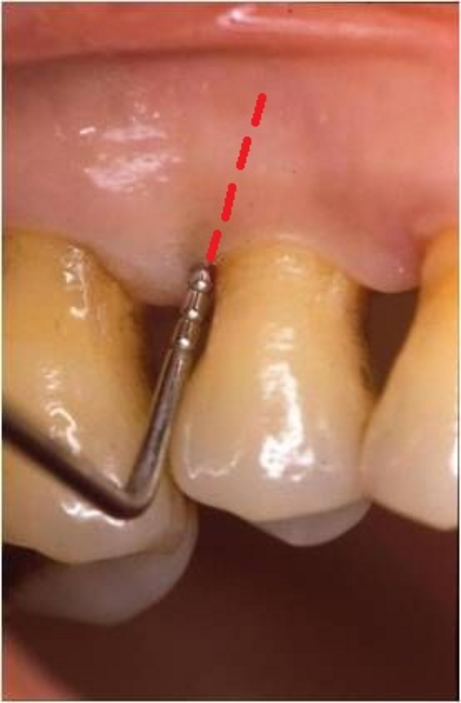
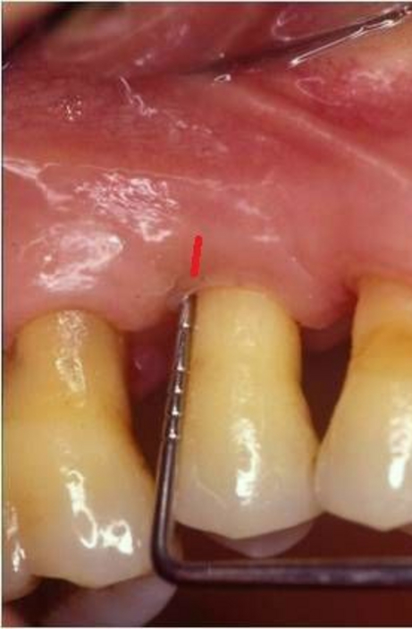
L’approccio chirurgico chirurgia osseo resettiva consiste nel rimuovere il tessuto malato (la tasca) e nel ricontornare i tessuti molli (gengive) e duri (osso alveolare) rendendone uniforme l'alteza e rimuovendo picchi e irregolarità. Eliminando le anomalie del tessuto osseo e gengivale che determinano un'accumulo di placca è possibile infatti ottenere un’anatomia che permetta l’eliminazione permanente delle tasche, dei difetti ossei e di favorire le manovre di igiene domiciliare.
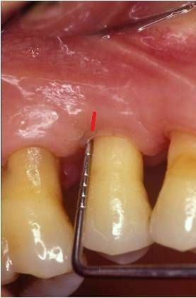
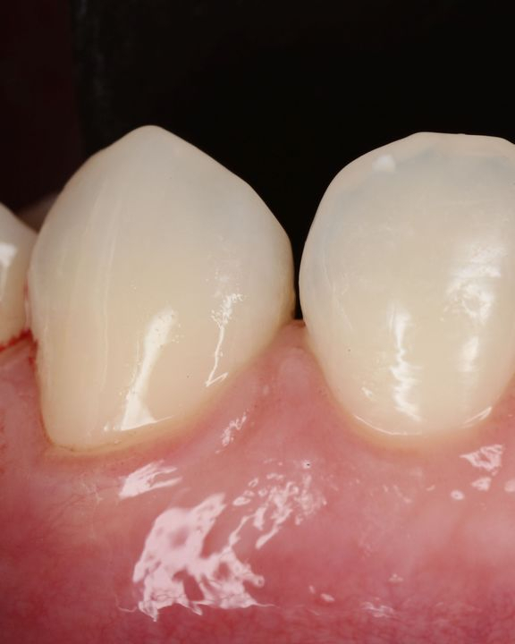
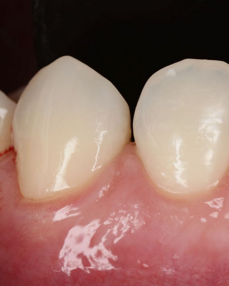
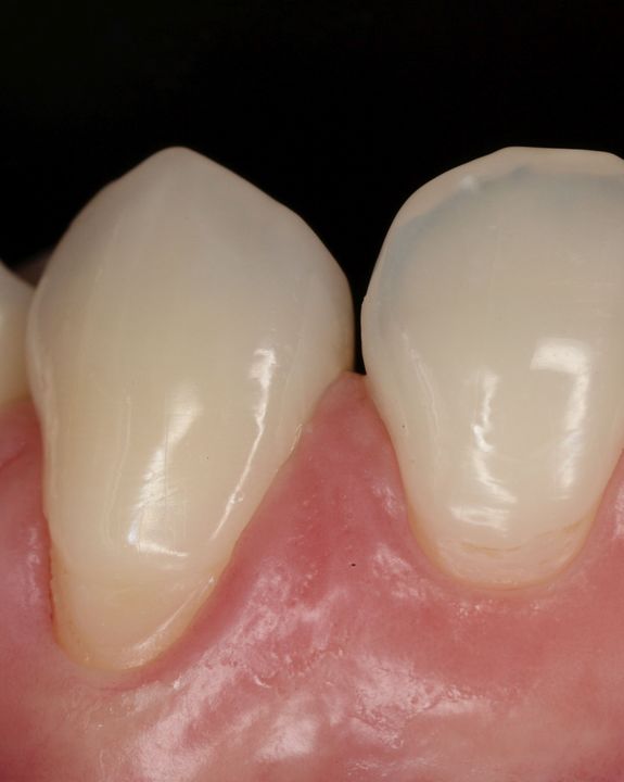
Chirurgia plastica mucogengivale (ricopertura radicolare)
La microchirurgia plastica parodontale è utilizzata per arrestare la progressione di malattie parodontali e delle recessioni gengivali (retrazione delle gengive), ma anche per migliorare l’aspetto estetico della linea gengivale e del sorriso.
Radici dentali esposte sono il risultato della recessione gengivale. I denti in questi casi spesso sono sensibili a cibi e liquidi caldi, freddi o acidi. Le cause per cui si hanno recessioni gengivali sono le stessa da cui originano le parodontiti, prime tra tutte placca batterica, scarsa igiene orale, traumatismi, fumo. Esistono poi una varietà di fattori predisponenti che dovrebbero essere individuati per limitarne l’azione distruttiva e per prevenire l’ulteriore perdita di gengiva ed osso.
Innesti di tessuto molle possono essere utilizzati per coprire le radici esposte ma anche per ricostruire il tessuto che è andato perso. Il tessuto molle viene prelevato dal palato o da altre zone intraorali. L’intervento è quasi indolore e non esistono possibilità di rigetti. Il tessuto prelevato dalla zona donatrice si riforma spontaneamente in poche settimane.
Numerosi benefici derivano dalla chirurgia plastica parodontale: l’innesto di tessuto molle ricostruisce il tessuto perso e previene l’ulteriore progressione della recessione gengivale e dell’osso alveolare. Gli innesti gengivali riducono la sensibilità del dente e prevengono la formazione delle carie alle radici. E soprattutto migliorano l’aspetto estetico della linea gengivale e quindi del sorriso di ogni paziente.








