Protesi
L'eventuale perdita di un dente è un problema che, seppure lieve, non manca di avere conseguenze sul piano clinico: infatti la mancanza di elementi dentari implica variazioni a carico di tutto l'apparato masticatorio; queste variazioni tendono a divenire ogni giorno più evidenti e più difficilmente risolvibili con il passare del tempo. Ogni elemento perso va sostituito; si ricorre a protesi dentarie; queste, a seconda dei casi, possono essere protesi mobili o protesi fisse (su impianti o su denti naturali), parziali o totali a seconda che coinvolgano la riabilitazione di un dente o gruppo di denti oppure di un'intera arcata.
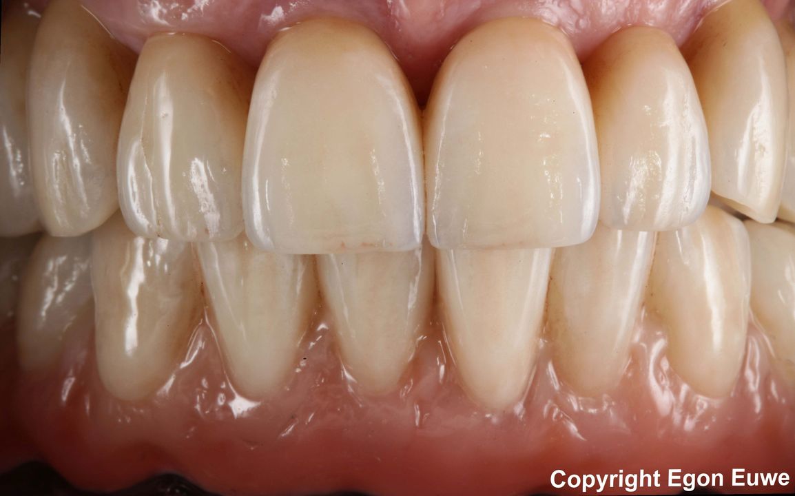
L'utilizzo in odontoiatria protesica dell’oro e delle leghe metalliche in generale va tramontando grazie all’introduzione di materiali “bianchi” la cui estetica risulta davvero molto più gradevole. La possibilità di eliminare la visibilità di antiestetici margini metallici è una soluzione che piace molto agli operatori clinici ma anche soprattutto ai pazienti. Ed oggi le ceramiche integrali permettono sia di progettare nuove riabilitazioni sia di reintervenire su lavori realizzati in precedenza che non soddisfano le esigenze estetiche.
La resistenza ed il successo estetico
Insieme alle ceramica l'ultima frontiera nei materiali utilizzati nell'odontoiatria protesica e implanto-protesica è la Zirconia (ZrO2).
Questo materiale metallico è dotato di un'eccellente resistenza meccanica, frutto di procedimenti di lavorazione molto sofisticati che prevedono l'eliminazione microscopica di qualsiasi difetto nel reticolo cristallino che lo costituisce.
A questo conseguono naturalmente numerosi vantaggi per i nostri pazienti:
La precisione ottenuta con la Zirconia è molto maggiore di quella ottenuta con leghe metalliche fuse. Non possono esserci dannose infiltrazioni cariogene tra dente protesizzato e Zirconia. La Zirconia è estremamente più resistente di altri materiali per manufatti protesici.
Con la Zirconia, in caso di problemi parodontali, è possibile anche protesizzare un'intera arcata di 14 elementi in un solo blocco monolitico.
A differenza delle grandi protesi fisse circolari con supporto metallico, la Zirconia, essendo una struttura monolitica molto più rigida dei metalli, può trasmettere le forze della masticazione anche ai denti del lato non lavorante, riducendo notevolmente il loro carico.
L'estetica della Zirconia è insuperabile. Mancando i non estetici bordini metallici (come nelle protesi tradizionali), anche se nel tempo dovessero verificarsi retrazioni gengivali, non si vedrebbe nulla di antiestetico perché la Zirconia ha un colore identico a quello dei denti naturali.
Con la Zirconia al colletto dei denti non si potranno mai avere gli antiestetici tatuaggi (macchie grigiastre) gengivali dovuti dagli ioni che si liberano dalle leghe metalliche.
La Zirconia è perfettamente accettato da ogni organismo: non potrà verificarsi nessun fenomeno di tipo allergico.
A seconda del vostro caso clinico la Dottoressa Cinzia Biliotti e i suoi collaboratori Vi indirizzeranno verso la soluzione funzionalmente ed esteticamente più adatta ad ogni esigenza.
Protesi mobile
La protesi mobile totale (dentiera), è indicata quando mancano tutti i denti di una o di ambedue le arcate dentarie (superiore ed inferiore); è costituita da denti artificiale di resina o di ceramica, inseriti su una base di resina di colore simile a quello delle gengive.
La forma delle gengive e del palato su cui appoggia la protesi mobile, viene rilevata attraverso delle impronte, da cui verranno ricavati dei modelli per la sua esecuzione.
Protesi fisse sui denti naturali
La protesi fissa consente la ricostruzione dei denti propri rovinati o mancanti, per mezzo di corone o capsule. Si distingue dalle protesi dentarie mobili per l'impossibilità di rimuovere la protesi dal cavo orale in quanto cementata ai denti naturali del paziente.
Uno dei materiali più utilizzati per la realizzazione del rivestimento esterno di tali protesi dentarie è la ceramica, per via delle sue particolari peculiarità estetiche e di durezza. Insieme alla ceramica, come detto sopra, anche la Zirconia lega un'estetica insuperabile ad estrema resistenza. L'odontoiatria moderna permette la messa in opera di protesi fisse in tali materiali, indistinguibili, dal punto di vista estetico e funzionale, dai denti naturali.
Protesi fisse su impianti
Le protesi dentarie fisse su impianti prevedono l'inserzione di un impianto dentario che viene inserito al posto della radice del dente naturale andato perso. La caratteristica di tale radice è quella di stimolare le cellule ossee ad unirsi perfettamente ad esso. Al termine di un breve periodo di guarigione sarà possibile posizionare il nuovo dente, in quanto la sua base si inserirà all'interno dell'impianto.
Il risultato finale è quindi quello di ottenere una nuova radice perfettamente stabile, in grado di sostenere un nuovo dente artificiale (in porcellana o zirconio) che sostituisce sia dal punto di vista estetico che funzionale il dente originario.
Ponti
Quando uno o più denti sono mancanti, i denti rimanenti possono andare fuori posizione, e ciò può portare ad un cambiamento del morso, alla perdita di tessuti di sostegno, a carie e malattie gengivali. Quando si verifica la perdita dei denti, il dentista può raccomandare il posizionamento di un ponte.
Progettato per sostituire i denti mancanti, un ponte è un raggruppamento di corone (denti artificiali indistinguibili da quelli naturali) interconnesse e ancorate ai denti adiacenti a quello mancante che vengono preparati in modo da rendere l'estetica il più naturale possibile.
In alternativa un ponte può essere posizionato anche su impianti in caso di perdita di un maggior numero di elementi.
Grazie al riposizionamento protesico di elementi dentari persi, si aiuta a ridurre il rischio di tutti quei disturbi legati alla mancanza di denti nell'arcata, primi tra tutti la malattia parodontale e i problemi legati alla masticazione con i loro risvolti su tutto l'apparato muscolare.





