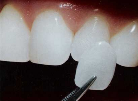
Le faccette dentali
Il posizionamento di faccette dentali è un metodo semplice e non invasivo per mascherare delle imperfezioni del tuo sorriso. Quando i denti sono danneggiati, macchiati o non allineati, lo Studio Dottoressa Cinzia Biliotti, in due settimane, con l’applicazione delle faccette dentali, può trasformare qualsiasi sorriso.
Poiché il sorriso è unico, la Dottoressa e la sua équipe studieranno la tua situazione per offrirti un risultato personalizzato. Nel corso della prima seduta le radiografie, le fotografie e un esame accurato dei denti ci permetteranno di studiare la migliore soluzione per ridare luce al sorriso. A seconda delle preferenze, della complessità della malformazione dentale e delle forme dei denti da modificare si realizza un modello di prova di quello che sarà il risultato finale.
Le nostre faccette dentali sono realizzate in ceramica, materiale biocompatibile utilizzato per la sua capacità di riflettere la luce in armonia con i denti e le gengive. Il risultato è trasparente, invisibile e duraturo.
Il posizionamento delle faccette dentali è una tecnica totalmente indolore.
Durata del trattamento
Questo trattamento è realizzato in due sessioni. Per favorire la comodità del paziente la Dottoressa e la sua equipe possono accordarsi per intervenire in tempi molto brevi.La trasformazione del tuo sorriso può avvenire anche in due sole settimane!


