Pedodonzia
La categoria degli odontoiatri è spesso associata a dolore fisico e all'instaurarsi di paure.
Quanti non provano un senso di spavento soltanto al pensiero degli strumenti del dentista, come le frese, gli aghi e le pinze?
Soprattutto nell’età infantile il rifiuto delle cure odontoiatriche si manifesta con grande forza.
Per questo esiste la Pedodonzia, che non può essere definita una specializzazione dell’Odontoiatria, ma che è riconducibile ad una particolare disposizione della personalità dei dentisti che scelgono di mettere la propria esperienza al servizio dei piccoli pazienti.
Avvicinarsi al mondo dell’infanzia vuol dire sentire dentro di sé le capacità necessarie a creare rapporti di fiducia intensi e duraturi con i bambini. Strumenti particolari e tecniche di lavoro dedicate sono alla base dell'attenzione per i pazienti pedodontici della Dottoressa Biliotti, la quale con l'esperienza maturata rassicura il giovane paziente riuscendo così ad ottenere risultati eccellenti.
La pazienza, la gentilezza, la simpatia sono caratteristiche necessarie per il raggiungimento dello scopo. La Dottoressa Cinzia Biliotti ed il Dott. Edoardo Bianco, che si occupano di pedodonzia e di odontoiatria dei bambini, riescono a far breccia nell’animo del piccolo paziente, per evitare l’insorgere delle paure legate da sempre alla figura del dentista. La “famosa cesta di piccoli doni” posta nella sala d’aspetto stimola la curiosità e la fiducia dei piccoli, creando un clima di serenità.
Fa seguito l’attenzione nell’ambito delle anestesie più adatte, fino ad utilizzare le più moderne tecniche sedative e tranquillizzanti, come la sedazione cosciente, utilizzata dallo Studio della Dottoressa Cinzia Biliotti con risultati eccellenti già da tempo: la somministrazione per via inalatoria di ossigeno ed azoto con una mascherina, porta il paziente ad essere sempre cosciente e padrone dei propri sensi, ma le sue paure e tensioni si trasformano in una confortante situazione di sicurezza.
Insieme alla paura diminuisce di molto anche la sensibilità al dolore.
La puntura di anestesia in bocca, per molti piccoli pazienti un vero e proprio incubo, praticamente non viene più percepita. L'assenza di dolore legata a questa pratica porta a una collaborazione attiva del bambino, ai fini di una corretta risoluzione dell’intervento.
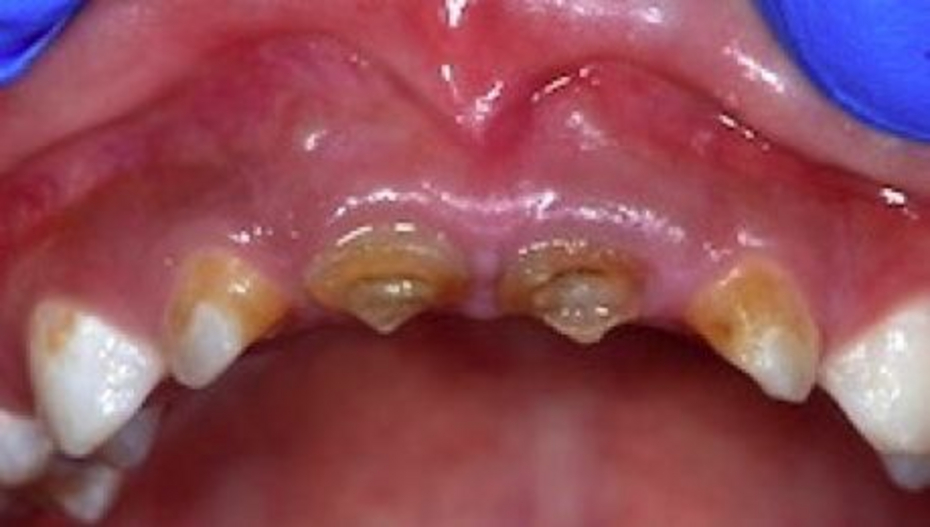
Già prima dei 5 anni circa il 75% dei bambini è affetto da carie. A provocarle è la placca batterica, costituita da batteri e residui organici di origine alimentare. La placca si forma costantemente all’interno della bocca, aderisce ai denti, ne intacca lo smalto e prosegue attraverso i cunicoli dentinali in direzione della polpa. Nei bambini la carie è un problema ricorrente perché lo smalto dei denti da latte è più sottile e quindi più vulnerabile alle aggressioni esterne. Motivo per cui appena spuntati, i denti devono essere mantenuti sani: prevenire è meglio che curare, oltre che più economico. Per questo motivo è fondamentale un incontro precoce col pedodonzista (intorno ai due anni), che darà ai genitori i chiarimenti necessari per un corretto mantenimento della salute orale del bambino.
Le conseguenze della carie nei denti da latte
Si pensa erroneamente che i denti da latte non richiedano cure e controlli e che, una volta caduti, anche se cariati o rovinati, non si presentino problemi per i denti definitivi.
Al contrario, i denti da latte sono molto importanti per:
- la masticazione e quindi per il primo periodo dello sviluppo, quello in cui l’organismo deve assimilare tutte le sostanze necessarie alla crescita;
- lo sviluppo sano delle ossa mascellari e della seconda dentizione: se la carie procede può arrivare a interessare la polpa, l’osso alveolare e danneggiare irrimediabilmente il germe del dente permanente, essendo a stretto contatto con esso;
- “tenere il posto” ai denti permanenti. Se un dente da latte cariato deve essere estratto, il posto del dente permanente non è più “garantito” e c’è il rischio che vengano compromessi l’allineamento e la corretta masticazione dei denti definitivi.
La prevenzione
Alcune semplici regole da insegnare precocemente ai bambini aiutano a prevenire la formazione delle carie:
- igiene orale quotidiana
- igiene alimentare
- visite periodiche dal dentista (profilassi professionale)
Igiene orale quotidiana
Per igiene orale si intende la rimozione della placca e dei residui alimentari con lo spazzolino. L’operazione dovrebbe avvenire dopo ogni assunzione di cibo.I bambini molto piccoli non sono in grado di provvedere da soli, quindi sono i genitori a dover eseguire la pulizia tramite una garza imbevuta d’acqua. Dai 2 ai 3 anni è possibile iniziare a utilizzare lo spazzolino con dentifricio che non contenga abrasivi.
Dai 6 anni il bimbo può diventare autonomo, ma deve essere sempre sorvegliato dai genitori affinché la pulizia avvenga nel modo corretto.
È molto importante la scelta dello spazzolino, che deve essere di dimensioni adeguate, con manico dritto, testina piccola, setole artificiali con punte arrotondate e durezza media. È fondamentale anche insegnare ai bimbi la corretta tecnica di spazzolamento, per asportare la maggior parte di placca possibile.
Per divertire i bambini, e allo stesso tempo verificare se la pulizia viene effettuata correttamente, si possono utilizzare le pastiglie rivelatrici di placca che la colorano di rosso e quindi indicano dove c’è maggior bisogno di pulizia.
Presso il nostro studio si eseguono inoltre spazzolini con manici modificati in resina che vengono creati sull’impronta del paziente. Questo permette di facilitare le manovre d’igiene anche a pazienti con difficoltà motorie.
Igiene alimentare
La capacità degli alimenti di provocare carie non è dovuta solo alla quantità di zucchero contenuto nell’alimento stesso ma anche alla consistenza dell'alimento stesso.
Più un cibo è appiccicoso, più a lungo rimarrà adesso sui denti favorendo quindi la formazione di una quantità maggiore di placca.
Ogni volta che si mangia,lo zucchero contenuto nei cibi che rimane su denti e gengive viene trasformato dai batteri in acido.
Dopo circa 20 minuti dalla fine del pasto, la secrezione di saliva riporta nella bocca il corretto ph tamponando l'acido. L’ingestione continua di cibo non permette alla saliva di agire a causa di continui apporti di zucchero.
Molto spesso accade che siano proprio i genitori a impartire errate abitudini alimentari ai propri figli. Queste le principali cause di carie nei piccoli:
- intingere il succhiotto nello zucchero o nel miele per far stare tranquillo il neonato
- mettere nel biberon, soprattutto durante la notte, liquidi molto zuccherati
- aggiungere zucchero alla frutta grattugiata o alle spremute.
Visite periodiche dal dentista (profilassi professionale)
I bambini devono essere sottoposti a un controllo odontoiatrico periodico almeno ogni 6 mesi affinché vengano loro assicurati pulizia dei denti, diagnosi precoce, corretta profilassi ed eventuale terapia. Accanto a tutto ciò che un genitore deve fare per mantenere la bocca dei figli in salute esistono, infatti, accorgimenti professionali: visite periodiche, fluoroprofilassi professionale, sigillature dei solchi.
L'importanza della fluoroprofilassi
Il fluoro svolge un ruolo importante nell’alimentazione umana e per la salute di bocca e denti.
Il suo meccanismo di azione è complesso ma è stato provato scientificamente che fortifica i denti proteggendoli dall’azione degli acidi prodotti dai batteri entrando a far parte della struttura chimica dello smalto stesso, indurendolo fino a farlo diventare più resistente alle sostanze in grado di intaccarlo e distruggerlo progressivamente. La sua presenza inoltre è determinante ai fini della remineralizzazione dello smalto nella fase iniziale della carie.
La fluoroprofilassi professionale (topica) consiste nell’applicare direttamente sui denti un gel contenente un’alta concentrazione di fluoro che, rimanendo a lungo in bocca, esplica la sua azione benefica. Per essere efficace deve essere ripetuta ogni 4/6 mesi. In aggiunta, ma non in alternativa, si può praticare la fluoroprofilassi sistemica, somministrando quotidianamente al piccolo pastiglie o gocce a base di fluoro: queste possono essere assunte da tutti i bambini, dai 6 mesi ai 12 anni.
Importante è anche l'utilizzo regolare di dentifrici al fluoro.
Sigillatura dei solchi
Una particolare forma di prevenzione della carie dentale è la sigillatura dei solchi, da effettuare nei bambini o nei soggetti di giovane età.La sigillatura andrebbe fatta poco tempo dopo che il dente è comparso in arcata. A questo scopo è indispensabile recarsi con regolarità dal proprio dentista per sapere quando è il momento giusto.
Traumi dentali: come comportarsi
Il tempismo è di fondamentale importanza per il successo in traumatologia dentale.
In caso di frattura o avulsione di uno o più denti, le regole da seguire sono:
- Recuperare, se possibile, il frammento o l’intero elemento dentario.
- Pulire il frammento o il dente da eventuali contaminanti (sciacquarlo sotto acqua corrente per pochi secondi).
- Conservarlo nel suo ambiente naturale: la bocca. In alternativa in acqua, in soluzione fisiologica o in un pò di latte.
- Recarsi d’urgenza dal proprio curante: il tempo gioca la carta più importante. Infatti se si agisce velocemente, il dente fratturato o avulso può riacquistare parte della sua vitalità e ripristinare anche un attacco parodontale.







